Prodotti per strutture sanitarie
TM-PACS
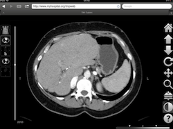
Permette di comprimere, proteggere, salvare e visualizzare immagini radiologiche con strumenti di visualizzazione all'avanguardia (zoom, lente di ingrandimento, annotazioni, misurazione delle distanze, monitoraggio delle misurazioni ecc.). L'utente può visualizzare immagini angiografiche coronariche, immagini PET di medicina nucleare e le più tradizionali immagini (MRI, TC, ecografiche ecc.). L'applicazione di etichette consente di formare gruppi di esami e di accedervi tramite un semplice clic. Un sistema di ricerca personalizzato recupera rapidamente la cartella del paziente o l'esame desiderato. La soluzione è ottimizzata per la visualizzazione multischermo con integrazione dei software RIS e PACS, installati presso le stesse stazioni di diagnosi.
TM-MACS
Il MACS (Multimedia Archiving and Communication System) è in linea con la tendenza alla digitalizzazione dei servizi e delle attività cliniche. La soluzione multimediale si estende a tutti gli altri reparti clinici (oculistica, dermatologia, cardiologia, sala operatoria, pronto soccorso, patologia ecc.). Telemis supporta tutti i formati di immagine, sia DICOM che non DICOM. Il personale medico ha accesso alle immagini e ai video delle cartelle cliniche dei pazienti e può così esaminarle e formulare diagnosi. A tale scopo, sono disponibili diversi strumenti di analisi e di visualizzazione, tra cui zoom, lente di ingrandimento, annotazioni, misurazione delle distanze ecc., per migliorare i risultati diagnostici. L'applicazione di etichette consente di formare gruppi di esami e di accedervi tramite un semplice clic. Un sistema di ricerca personalizzato recupera rapidamente la cartella del paziente o l'esame desiderato.
TM-Mammo
La soluzione TM-Mammo è stata specificamente concepita per le esigenze di memorizzazione, distribuzione e diagnosi dell'imaging digitale mammografico nell'ambito dei reparti di senologia. Il visore TM-Mammo permette un facile confronto tra le immagini storiche del paziente (per tutti i tipi di condizioni), con visualizzazione di sequenze specifiche. La tomosintesi è stata integrata nelle sequenze di visualizzazione.
TM-Capture
Grazie all'opzione TM-Capture è possibile scattare foto con un semplice smartphone e inviarle al sistema MACS. Le immagini possono essere molto diverse: ferite, piaghe, chirurgia, immagini dalla sala operatoria, pronto soccorso, dermatologia, macroscopie ecc. TM-Capture si fa apprezzare anche per la buona ergonomia e per la possibilità di richiedere diagnosi a distanza nell'ambito dell'ospedalizzazione domiciliare. Permette al personale medico di prepararsi sulla base delle foto scattate in ambulanza. La soluzione risulta inoltre utile in ambito medico-legale per chirurghi ed emergentisti, che potranno acquisire prove visive digitali.
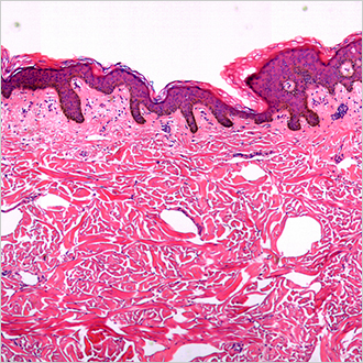
TM-Microscopy
Questa soluzione ottimizza la distribuzione e l'accesso a immagini anatomo-patologiche, con possibilità di richiamo, memorizzazione ed analisi delle stesse con il visore TM-Microscopy. Offre risultati diagnostici di alta qualità per la maggior pertinenza delle analisi dei campioni e le funzionalità che facilitano lo scambio di opinioni tra patologi. Leggi tutto?
TM-Publisher Web
Le informazioni devono essere consultabili sempre, istantaneamente e ovunque ci si trovi. Ciò vale anche per i risultati di imaging. Il paziente ha terminato le analisi e il medico curante deve ottenere rapidamente i risultati, sia esso un medico interno dell'ospedale che esterno. È proprio questa la filosofia su cui si fonda TM-Publisher Web: fornire accesso alle immagini da qualsiasi computer collegato a Internet, garantendo al tempo stesso la privacy dei dati del paziente.
TM-Community
TM-Community è una soluzione basata su cloud che consente alle sedi ospedaliere di scambiarsi le cartelle cliniche. Lo scambio può riguardare documenti in qualsiasi formato (PDF, DICOM, JPEG, ecc.) e risulta sicuro e tracciato. Questa soluzione permette, tra l'altro, di richiedere un secondo parere diagnostico, inviare una cartella a un centro di eccellenza o trasmettere giornalmente immagini a un centro di riferimento.
Hyper.TELEMED
La nostra soluzione Hyper.TELEMED è un sistema di telemedicina punto a punto che permette la trasmissione sicura dei dati dei pazienti in conformità alla normativa per gli Apparecchi elettromedicali.
L'utente può trasferire i dati e le immagini in formato DICOM e HL7 su qualsiasi rete (DSL, VPN, LAN, e-mail, https, ecc.) utilizzando interfacce standard. È inoltre in grado di trasmettere foto e dati diversi da DICOM, quali PDF, TIF, GIF, MPE tramite standard DICOM.
Hyper.PACS
HyperPACS è un sistema PACS universale per tutte le immagini medicali, sia DICOM che non DICOM. Si fonda su tre pilastri: velocità, stabilità e sicurezza. Hyper.PACS consente accesso rapido ai dati, stabilità e protezione dei dati al 100%.
L'interfaccia è stata sviluppata in collaborazione con gli utenti affinché risultasse intuitiva per la diagnosi, la visualizzazione e la telemedicina. Il flusso di lavoro è ottimizzato grazie a protocolli di visualizzazione personalizzati, visualizzazione della cronologia e sospensione della sessione.
Sono inoltre disponibili moduli aggiuntivi, come la pianificazione ortopedica e lo scambio di immagini di telemedicina.